Gigi renggang “Central Diastema” Bisa Diperbaiki, lho!

Diastema merupakan masalah yang umumnya tidak menyenangkan dan muncul pada gigi permanen dewasa sehingga dapat mempengaruhi senyum pasien dan menjadi perhatian bagi estetika.  Sekarang kamu tidak perlu khawatir lg, karena ternyata pada kondisi ini ada solusinya lho! dan juga tidak perlu menunggu waktu yang lama untuk bisa diperbaiki. Mau tahu lebih lanjut ? Yuk, simak penjelasan selengkapnya.
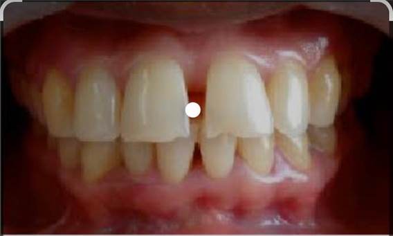
Central Diastema atau dikenal dengan Gigi Renggang adalah Celah antara dua gigi seri (gigi depan) yang berjarak >0,5 mm baik pada rahang atas maupun rahang bawah. Diastema terdapat dua jenis, yaitu single diastema dan multiple diastema. Diastema tunggal berarti hanya ada satu celah diantara gigi yang renggang. Sedangkan Diastema multipel, di sisi lain terdapat dua atau lebih celah pada gigi yang renggang. Gigi renggang yang berada di antara gigi depan rahang atas bernama diastema sentral. Baik diastema tunggal maupun diastema multipel, keduanya dapat terjadi pada rahang atas ataupun rahang bawah.
Banyak faktor sebagai penyebab terjadinya suatu diastema sentral. Berdasarkan beberapa penelitian yang telah dilakukan bahwa prevalensi terjadinya diastema sentral berkisar antara 1,6% – 25,4% pada orang dewasa dan lebih sering lagi pada anak-anak, mendekati 98% pada usia 6 tahun, 49% pada usia 11 tahun dan 7% pada usia 11-18 tahun. Lebih sering terdapat pada laki-laki dibandingkan dengan perempuan. Berdasarkan pada ras lebih banyak pada orang kulit hitam dibandingkan dengan kulit putih, asia dan hispanik.
Beberapa faktor yang menyebabkan terjadinya celah, antara gigi ;
  • Ukuran gigi dan rahang yang tidak sepadan, kebiasaan mengisap ibu jari
  • Kebiasaan menekan gigi dengan menggunakan lidah
  • Gusi yang tidak tumbuh dengan normal.
Penanganan untuk mengatasi diastema sentral/ gigi renggang tergantung pada faktor penyebabnya. Beberapa pilihan perawatan gigi renggang pada orang dewasa, yaitu :
  • Pemakaian behel (kawat gigi)
Salah satu penyebab diastema adalah ketidaksesuaian antara ukuran gigi dan rahang akibat kelainan bawaan. Bila penyebabnya dari faktor keturunan, gigi yang biasanya berukuran normal, namun rahang lebih lebar dari biasanya. Atau pada orang memiliki rahang yang normal, namun ukuran giginya lebih kecil dari biasanya. Cara merawat gigi renggang akibat faktor ini adalah dengan menggunakan bracket atau kawat gigi. Maka dianjurkan untuk menggunakan kawat gigi setelah perawatan gigi. Ini mencegah gigi kembali ke posisi semula. Biasanya dokter gigi melakukan penilaian setiap 3 bulan sekali.
  • Pembuatan crown atau veneer
Cara lain untuk merawat gigi renggang adalah dengan menggunakan veneer gigi direct dan indirect. Seperti kebanyakan prosedur veneer gigi, permukaan depan gigi perlu dilakukan pengasahan. Dengan veneer direct, dokter gigi langsung menyiapkan veneer dari bahan komposit agar bisa dilakukan dalam satu kali kunjungan. Sedangkan pada veneer indirect, dilakukan pencetakan gigi kemudian akan dikirim ke laboratorium gigi. Jika sudah siap, akan ditempelkan pada gigi dengan perekat khusus, oleh karena itu memerlukan 2 kali kunjungan.
  • Penambalan pada celah gigi
Cara ini sama seperti penambalan pada gigi berlubang tetapi ditambahkan dengan penggunaan separator untuk membentuk tepi yang rapi dan bagus. Bahan tambalan yang digunakan mempunyai warna yang menyerupai gigi asli, sehingga dapat menutup celah gigi sekaligus memperbaiki estetiknya. Penambalan dapat dilakukan jika tidak ada penghalang, seperti perlekatan frenulum yang tinggi atau kebiasaan buruk yang mendasari terjadinya gigi renggang. Untuk tambalan gigi dengan bahan komposit sangat aman, relatif terjangkau, dan bisa dikerjakan dalam satu kali kunjungan.
Untuk menentukan perawatan yang tepat sebaiknya konsultasikan terlebih dahulu kepada Dokter Gigi Spesialis di Jakarta Dental Clinic, Rumah Sakit Jakarta. Informasi & pendaftaran dapat menghubungi Telp 021-5732241 atau via Whatsapp 0812 8024 1056.

Artikel Terbaru

artikel web
Kenali 6 Kebiasaan yang Membahayakan Gigi
Jakarta Dental Clinic, Tahukah kamu banyak dari kebiasaan...
rawat inap web (1)
Kenali Tanda-Tanda Mata Kamu Sedang Bermasalah
Klinik Mata Jakarta Aini, Mata merupakan salah satu...
rawat inap web (2)
Gigi Kamu Mulai Berubah Warna? Bleaching Solusinya!
Pernahkah kamu merasa tidak percaya diri saat tersenyum...
rawat inap web (18)
Arthroscopy untuk Perbaiki Gangguan Sendi Lutut
Artroscopy adalah prosedur bedah yang dilakukan untuk...
rawat inap web (21)
Ketahui Lebih Banyak Mengenai Dispepsia
Gangguan pada saluran pencernaan yang dapat menimbulkan...